歯科医師国家試験:過去問&詳細解説 一般公開
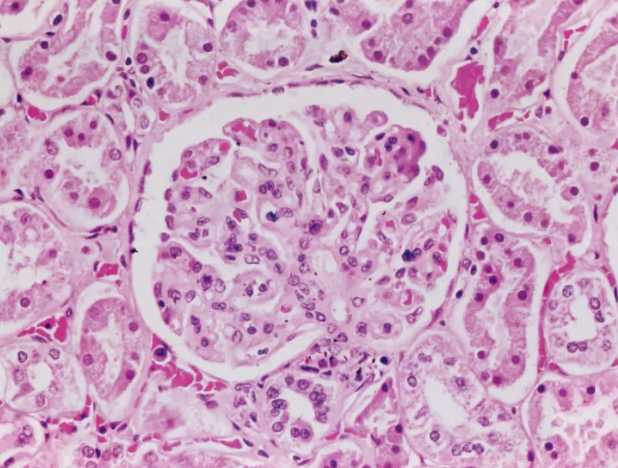
【第119回 A-5】腎機能の基礎
問題
ある臓器のH-E染色組織像を示す。
循環血液量の減少によって、この臓器から分泌されるのはどれか。1つ選べ。
- a. レニン
- b. メラトニン
- c. カルシトニン
- d. アルドステロン
- e. プロラクチン

勉強ステップ1:組織像から「臓器」を特定する
【第118回 A-17】神経筋接合部の機能と伝達物質
問題
神経筋接合部の模式図を示す。アが結合して活性化されるイはどれか。1つ選べ。
- a. リアノジン受容体
- b. アドレナリンα1受容体
- c. 電位依存性Naチャネル
- d. 電位依存性Caチャネル
- e. ニコチン性アセチルコリン受容体

この問題は、神経から筋肉へ“どのように情報がバトンタッチされるか”という順序を理解しよう。
勉強ステップ1:図の「場所」と「物質」を特定する
場所は骨格筋と運動神経のつなぎ目である「神経筋接合部」である。
ア: 神経終末のシナプス小胞から放出される神経伝達物質を指し、神経筋接合部はアセチルコリン
神経筋接合部以外のつなぎ目は、神経細胞と神経細胞のつなぎ目である「シナプス」のみである。
| 神経細胞と神経細胞のつなぎ目(シナプス) | Na+を入れる グルタミン酸、アセチルコリン |
|---|---|
| Cl–を入れる GABA、グリシン | |
| 交感神経 節後線維と効果器のつなぎ目 | ノルアドレナリン |
| 運動神経と筋細胞のつなぎ目(神経筋接合部) | アセチルコリン |
| 例外:交感神経 節後線維と汗腺のつなぎ目 | アセチルコリン |
勉強ステップ2:受容体の種類を特定する
神経伝達物質には対となる受容体がある。
イ: 筋肉側の細胞膜に存在し、アセチルコリンを受け取る受容体がありその種類はニコチン性アセチルコリン受容体である。
| アセチルコリン | ニコチン性アセチルコリン受容体(イオンチャネル型) ムスカリン性アセチルコリン受容体(Gタンパク共益型) |
|---|---|
| アドレナリン・ノルアドレナリン | アドレナリンα-β受容体(Gタンパク共益型) |
| グルタミン酸 | NMDA受容体 |
他にも多くの神経伝達物質と受容体があるが、国家試験に出題されたことのあるのは上記のセットのみ
勉強ステップ3:なぜ誤答かを明確にする
神経伝達物質には対となる受容体がある。
- a. リアノジン受容体: 筋細胞内の筋小胞体に存在し、カルシウムを放出させる役割
- b. アドレナリンα1受容体: 主に平滑筋などに存在し、交感神経の影響を受ける受容体
- c, d. 電位依存性チャネル: 膜電位の変化に反応して開くものであり、伝達物質が直接結合して開く受容体とは異なる。
